
The orthodontic clinic is part of Enhance Dental and is for adults and children who want straighter teeth.
What is Orthodontic Treatment?
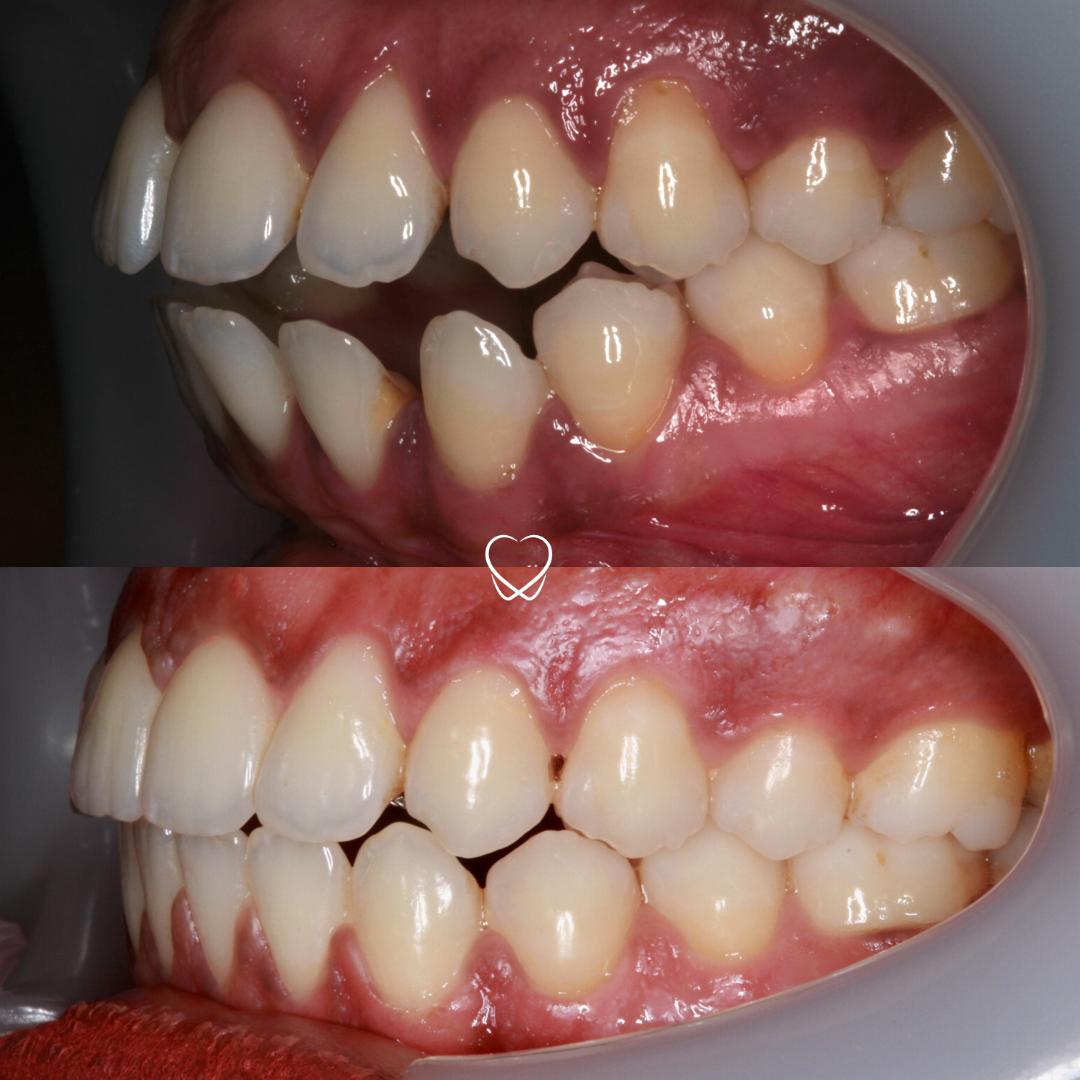
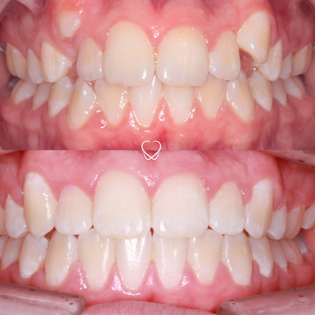
It is the branch of dentistry that aims to straighten teeth using fixed braces or clear aligners such as Invisalign or Sure Smile. A wide range of concerns can be addressed, including crowded teeth, overbites, gaps between teeth, and problems with how you bite.
The main benefit of orthodontic treatment is to improve your smile!
Why choose Enhance Orthodontics?
- A highly experienced team.
- Digital monitoring using Dental Monitoring meaning less appointments.
- Used to treating both children and adults who may be anxious about having braces.
- Short waiting lists to get started.
- Convenient after-school and evening appointments.
- We can correct re-crowding after previous orthodontic treatment.
- Affordable treatment options with a range of interest-free payment options.




